It is used after conservative surgery for early breast cancer

Breast cancer is the most common cancer in women worldwide. In the UAE the incidence is 25 per cent of all cancers and 40 per cent of all women registered with cancer. Unfortunately the peak is around 50 years old but nearly 25–30 per cent appears in women less than 35 years. Like most developing countries 20–30 per cent is early stage I and II while 70–80 per cent is late stage III and IV disease.
Radiotherapy plays a major role in the management of breast cancer. It is used after conservative surgery (CS) for early breast cancer and post mastectomy with lymph node involvement. With the addition of improved survival from systemic therapy (chemotherapy, hormone therapy and target therapy) most breast cancer patients have become long survivors. Hence it is vital to reduce the late side effects of treatment.
DIBH is used with modern radiotherapy equipment and computerized planning system. It requires the cooperation of radiation oncologist, medical physicist, radiation technician and most importantly a fit patient who can hold his/her breathing for at least 20 seconds.

The main radiation-related long-term consequences are radiation induced heart disease (RIHD) and lung damage which occurs 10-15 years after treatment. The average heart dose from modern radiotherapy is 5.2Gy for left breast and 3.7Gy for right breast.
The incidence of RIHD is higher in left sided cases and in young women. The risk increases by 4-7 per cent with every extra 1Gy received by the heart especially with women with preexisting cardiovascular disease. The average dose to ipsilateral lung is around 10 per cent.
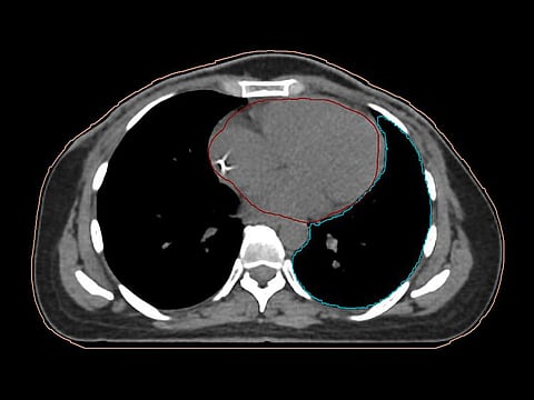
Deep Inspiration Breath Hold (DIBH) is a radiation therapy technique when patients take deep breaths and hold their breath during treatment while the radiation is being delivered. By taking deep breaths the lungs fill with air and the heart is pushed posteriorly and inferiorly away from the chest wall. This will reduce the dose to the heart and to the left anterior descending coronary artery (LDA) by nearly 50 per cent as compared with free breathing (FB) technique. There is significant decreased dose to ipsilateral lung and substantially increase in ipsilateral lung volume. The dose to the contralateral breast showed no difference between FB and DIBH.
DIBH is used with modern radiotherapy equipment and computerised planning system. It requires the cooperation of radiation oncologist, medical physicist, radiation technician and most important a fit patient who can hold his/her breathing for at least 20 seconds. 3DCR, IMRT and VMAT techniques are necessary to have the intended result. Daily monitoring of the patient during treatment is mandatory.
Patients who are not fit for this DIBH are elderly patients with comorbidities like IHD or chronic lung disease, obese females and patients with short expected survival rates.