We need to study how it is evolving, and how many people are getting affected: Gilada

Pune, Maharashtra: In wake of a spurt in monkeypox cases in some foreign countries, a health expert on Saturday insisted on observing the evolution of the disease while also advising not to panic.
The Centre on Friday issued an alert to the National Centre for Disease Control (NCDC) and the Indian Council of Medical Research (ICMR) and asked them to keep a close watch on the situation evolving in relation to the monkeypox cases abroad.
“Everything should be taken seriously. And we should keep a guard but at the same time, there is no need to get panic. We need to study how it is evolving, and how many people are getting affected. Fortunately, it is not that severe as smallpox,” said Dr Ishwar Gilada, infectious diseases expert and consultant for HIV/STDs.
“Currently we do not know how many people are really dying, whether they’ve received any treatment or not. We do not know the treatment and maybe the smallpox vaccine can be used as a treatment. Maybe, it can be used as a treatment, but we do not know that yet,” he added.
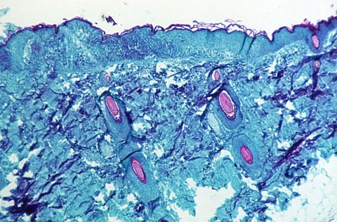
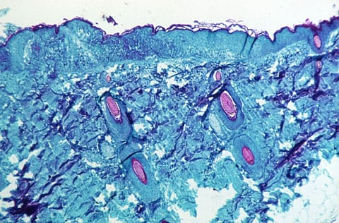
Elaborating on the monkeypox spread in 12 countries, according to the WHO, Dr Gilada said that such viruses spread in animals and later take a jump to the humans.
“Monkeypox is Zoonotic, such viruses spread in animals, but take a jump to humans. About COVID-19 we do not know whether it’s Zoonotic or not. But, for example, HIV is zoonotic, initially, it came as a monkey virus called simian immunodeficiency virus, SIV, and then it became HIV,” he said.
“So, this is monkey virus, or monkeypox, which was first noticed in monkeys only, it was around 1958 and it was in the rain forest area of Central Africa. But thereafter, sometime, it may have spread to the human beings, but the first cases were diagnosed only in the 1980s,” Dr Gilada added.
Explaining the type of virus and the availability of their treatment, the expert said, “basically, what we are currently worried is a lot of new infections will be viral infections. Usually, there are four types of infections bacterial, fungal, parasitic, and virals.”
“We have very effective antibiotics to take care of the bacteria, very effective antifungus to protect from fungus and very potent anti-parasitic. Now new infections, what we are seeing in the last 40 years are all viral because there are no potent antivirals and viruses are very much different like RNA virus, DNA virus, they are versatile, they change their shape, they have different clades they have different variants, sub-variants, so it becomes very difficult to find antiviral,” Dr Gilada said.
More than 80 cases of monkeypox have been confirmed in at least 12 countries, the World Health Organization (WHO) announced.
The WHO said another 50 suspected cases are being investigated, without naming any countries, and warned that more cases are likely to be reported.
Infections have been confirmed in nine European countries, as well as the US, Canada and Australia, the BBC reported citing the global health body as saying.
Monkeypox is most common in remote parts of Central and West Africa.
Sign up for the Daily Briefing
Get the latest news and updates straight to your inbox