Ankle replacement surgery gains acceptance

Once disparaged as borderline quackery, the procedure — called ankle arthroplasty — is now used to treat arthritis

Last updated:
6 MIN READ
1.2116896-2590118217
Courtesy of Duke Health
Courtesy of Duke Health

For years, doctors discouraged patients from getting the total ankle replacement — called ankle arthroplasty — because of persistent controversy over the earliest techniques, which involved cementing metal ankle reconstruction devices to bone. Sometimes the parts loosened prematurely or caused infections, leaving patients in worse shape than before.

Rather than surgery, doctors prescribed anti-inflammatory drugs and pain relievers and recommended that patients wear comfortable shoes laced up to the ankles. In extreme situations, they sometimes recommended ankle fusion surgery, which uses screws, plates and bone grafts to fuse the bones on each end of the ankle joint into one continuous bone. However, that procedure left patients with little ankle flexibility and an unusual gait.

But now some orthopaedic surgeons are performing total ankle replacements, in which bone and tissue are removed to make way for highly sophisticated metal and plastic implants. These doctors say that the procedure, which has taken decades to improve, is highly effective at relieving arthritic pain and enabling patients to regain the use of their ankle and resume a more active life.

This turnabout in medical treatment is due largely to the development of a half-dozen implant devices that were approved by the Food and Drug Administration beginning in the early 1990s. These prosthetic devices — made of advanced metal alloy and plastic — cover both the major shin bone and the ankle bone and are engineered to interact with each other and the patient’s body in a way that maximises mobility and flexibility.

At the same time, the medical profession has made great strides in developing better surgical techniques to ensure that the implants remain in place and function properly for years. As part of the typical two-hour operation, the Achilles’ tendon is often lengthened to improve the ankle’s range of motion without causing swelling or pain. (Surgeons can lengthen a contracted tendon by making small cuts on it at the back of the ankle. As the wounds heal, the tendon stretches out.)

Improved surgical techniques and instruments allow doctors to put the artificial ankle in the correct position, said Selene Parekh, a foot and ankle orthopaedic surgeon at Duke Health in North Carolina, which performs many of these procedures. “It is critical to make sure the ankle is balanced so that it has no unusual stress on it,” he said. “Just like a new set of tyres, if they are installed with an alignment issue on the car, they will wear out quickly. This is the same analogy that goes to an ankle replacement.”

Still, for all of the improvements, the long-term success and patient satisfaction with total ankle replacement are not as high as for knee and hip replacements, although some ankle surgeons say they are closing the gap. And the surgery — which can cost $40,000 or more — is more challenging and risky than other types of procedures.

Although insurance generally covers ankle replacement surgery provided certain medical requirements are met and FDA-approved implants are used, many private insurers have long denied coverage for the procedure, asserting that it is still experimental and risky.

“You have your general surgical risks, which include infection, healing problems of the wound, integration of implant into bone, blood clots, things like that,” said Gary Feldman, a Washington, DC-area podiatrist and surgeon. “When it comes to ankle replacement — probably more so than other major joints — you have the risk of developing arthritic changes in the adjacent joints. That’s always been a concern.”

Rheumatoid arthritis symptoms often show up first in the foot and ankle and gradually spread to other joints. However, Parekh insists that osteoarthritis is no more likely to spread as the result of an ankle replacement than a knee or hip replacement. “When you have a fusion of any joint, you can develop arthritis of any of the adjacent joints above or below the fused joint,” he said. “It’s the same for the whole body, not more so in the foot and ankle.”

Although ankle replacement has been around since the 1970s, Feldman insists that it is “still in its infancy.”

The American Orthopaedic Foot & Ankle Society, an association of 2,200 orthopaedic surgeons and specialists, says the number of ankle replacements is “increasing dramatically.” But a precise number is hard to come by.

A study published in the journal Orthopaedics in 2016 found that 2,340 total ankle replacements had been performed in academic-related hospitals between 2007 and 2011 and that the annual figure had more than doubled — from 290 in 2007 to 632 in 2011 — “as the procedure gained popularity among orthopaedists.”

A report by the Agency for Healthcare Research and Quality, an arm of the Department of Health and Human Services, cited 4,435 “hospital encounters” or discharges involving total ankle replacements in 2014. That appears to be the most recent official count of ankle replacement surgeries

Whatever the number, it pales by comparison with the more than 750,000 hip and knee replacements performed every year in the United States and the approximately 25,000 ankle fusions performed annually as of 2010.

As many as 90 per cent of total ankle replacement implants are intact five years after the surgery, but that the number drops to 80 per cent after eight years, according to an analysis of recent studies that was done by Washington University Orthopaedics of St Louis. The analysis concluded that most patients will probably need some type of corrective procedure within a decade or so of the surgery.

One of the biggest challenges is the sheer complexity of ankles, compared with the ball-and-joint structures of knees, hips and shoulders. Ankles and feet consist of hundreds of bones, joints and muscles as well as a network of nerves, tendons and ligaments. They provide extraordinary flexibility and mobility. And ankle joints serve as shock absorbers for the body, with a very small surface area to bear the weight. Once injured, they are hard to repair, especially in older people.

The foot and ankle society said the procedure is appropriate for patients who do not respond well to more-conservative treatment, such as prescription drugs to relieve pain or ankle braces to provide added support.

A 2016 study by the group, comparing total ankle replacement with fusion surgery, praised ankle replacement for its “preservation of functional range of motion” — something that is sacrificed in ankle fusion. But there were also big downsides to ankle replacements, according to the report, including the risk of “severe osteoporosis” and significant “bone defect.”

The apparent increase in total ankle replacements comes as a large and active baby boomer population and older athletes and runners are looking for relief from ankle pain. Millions of people seek treatment for ankle problems every year, including an estimated 50,000 who are experiencing what is called end-stage ankle arthritis. That occurs when the ankle cartilage has been worn away completely by bone-on-bone friction.

Kay Hedrick of Jacksonville, North Carolina, who suffered for decades after breaking her right leg in a roller skating mishap in Indiana in 1967, is a believer in total ankle replacement.

The wife of a Marine officer who spent much of her life raising a family at military installations across the country, Hedrick said she suffered ever-mounting pain in her ankle, which, unknown to her and her doctors, had also been injured in the fall. Over the years, the bones in the ankle deteriorated while near-crippling arthritis set in.

“It was just one of those progressive things, where we could do less and less,” she said. “I was bound and determined not to let it affect me too much ... but I was never comfortable, let’s put it that way.”

Hedrick, 76, said she was forced to cut back on many of the activities she loved most, including three-mile walks with her husband. She wore a brace for a time and experimented with homeopathic ointment to try to relieve the pain. One doctor recommended ankle fusion, but she resisted for fear of losing the up-and-down movement of her leg. (Research shows that fusion procedures alter the biomechanical performance of the foot and ankle and may result in postoperative complications.)

Five years later, a foot specialist she visited while vacationing in Arcadia, Florida, broached the subject of a total ankle replacement and said that she would qualify for the procedure. Back in North Carolina, she made an appointment at Duke Health with Parekh, who performed the operation April 25 of this year.

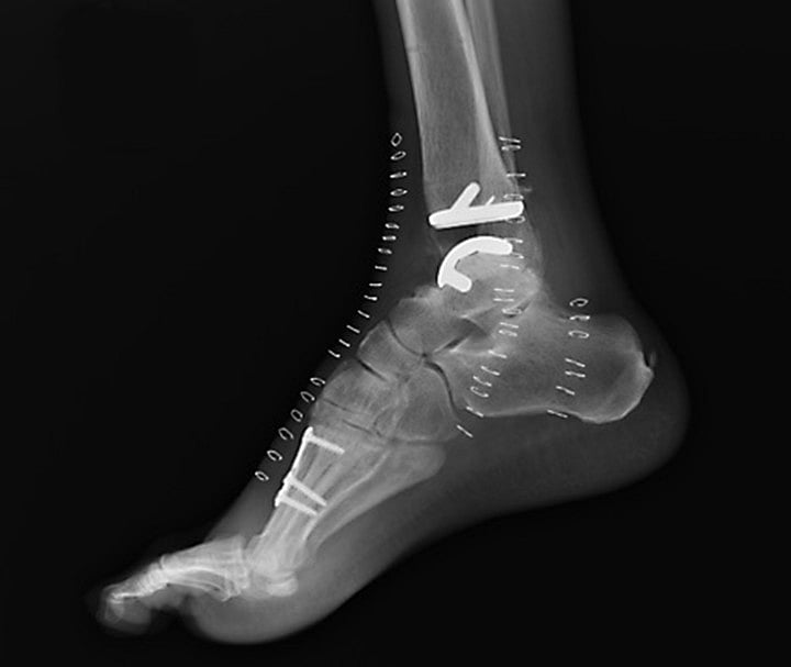
Parekh cut into the front of the ankle and down through the soft tissue all the way to the bone. Then he cut away from both sides of the joint to make way for the implant. He removed enough bone to install two metal pieces and a plastic piece — called the Cadence total ankle replacement — to hold the ankle together and provide it with flexibility. Then he stitched up the repaired joint.

Most patients can begin to walk with crutches after two to three weeks as long as they wear a protective boot. But specialists say rehabilitation can take another six to 12 weeks, and in some cases additional months of physical therapy is required.

By September, Hedrick seemed to be well on her way to a full recovery and spent time with her husband, Vince, at a campground in Mount Airy, North Carolina. “I’ve got pretty much full use” of the ankle, she said. “I don’t have full range of motion yet, but it takes a full year when you have ankle replacement to totally heal.”

“It’s so nice not to be in pain all the time,” she said. “I feel very blessed to have gotten that good a result from the surgery.”

–Washington Post

Sign up for the Daily Briefing

Get the latest news and updates straight to your inbox