• DUBAI 27°C
  • GOLD/FOREX
  • PRAYER TIMES
GOLD/FOREX
DUBAI 27°C
PRAYER TIMES

By Eric Pianin

Articles from the author

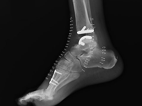
Ankle replacement surgery gains acceptance

Once disparaged as borderline quackery, the procedure — called ankle arthroplasty — is now used to treat arthritis
6m read
Courtesy of Duke Health
TRENDING STORIES
Go back to top
Network links:GN Store
About Gulf NewsTerms & ConditionsReach by GNSitemapContact usPrivacy PolicyGN FocusHave your sayWork with usAdvertise with usGulf News epaperPrinting Services
Find us on social
Download our app
© Al Nisr Publishing LLC 2026. All rights reserved.