Growing body of knowledge shows its awesome power; how unforgiveness hacks your brain

How do you forgive someone who has wronged you or caused you much pain? Or just imagine a day filled with minor annoyances: someone cut you off in traffic, a slow and forgetful waiter, who spilled coffee on your shirt during your birthday celebration.
Most of your loved ones, and the people you helped in their time of need, didn’t even send a line to greet you.
This may not be a typical scenario.
Take the case of Bernadette, who was sexually abused as a child by a male relative. For years, and decades, she did not tell a soul. She never got married, and only viewed men as predators. It’s only now, in her 50s, that she opened up about it, seeking emotional and psychological relief.
Sarah suffered the horror of seeing her brother and mother killed in a botched burglary attack carried out by an armed 17-year-old boy, who eventually spent much of his time in solitary confinement.
Sarah sorely missed her brother and mother during her wedding. They were not around to witness the arrival of her children. Sarah finally understood and practised forgiveness.
Being wronged or offended by someone is hard enough; forgiving the offending party is even harder.
To better understand it, experts suggest first understanding its flipside: what forgiveness is NOT.
The best things in life are never easy. And that includes forgiveness, a key part of the human experience that has often been misunderstood.
Many think it’s a sign of weakness. In reality, it takes great courage to forgive.
“When we forgive, there are a lot of benefits that come to us,” said clinical psychologist Dr. Everett Worthington.
“There are relational benefits. There are also a lot of mental health benefits. When we forgive, we cut out rumination, replaying in your head the bad things that happened in the past, which only gets uglier and uglier every time you engage in rumination.
"It’s the universal bad boy of mental health. Rumination is related to anger disorder, anxiety disorder, depression,” said clinical psychologist Dr. Everett Worthington, who is also a professor of psychology at Virginia Commonwealth University (VCU).
Why rumination is a silent killer
Experts point to three downside effects – it fuels negativity, impairs mental health, and hinders problem solving. When you ruminate, you dwell on negative thoughts and emotions, on auto-repeat mode. This constant replay in your head amplifies negativity, making you feel worse and hindering your ability to move forward from the situation. Rumination is linked to increased anxiety, depression, and stress. The constant mental churning can lead to feelings of hopelessness and overwhelm, impacting your overall mental well-being. Rumination focuses on the problem, instead of solutions.
The power of forgiveness is so compelling that many people are willing to pay to attend courses on forgiveness. One such course: “A Practical Guide to Forgiveness: How to Heal Past Hurt”. It’s offered by the online academy Udemy (course subtitle: “Forgiveness, How to Forgive, Releasing Hurt, How to Heal Wounds”).
Forgiveness is a complex concept. Despite its clear importance, forgiveness wasn't a major focus of scientific research until recently. Now, there's been a dramatic surge of academic interest in this area. Three (3) recent studies on forgiveness bear this out:
REACH forgiveness workbook study
A recent study involving approximately 4,500 participants from five high-conflict countries evaluated the effectiveness of a self-directed forgiveness workbook based on the REACH model.
This model involves recalling the hurt, empathising with the offender, and committing to forgiveness. The study, published in Psychology Today on June 17, 2024, found that the workbook not only promoted forgiveness but also reduced depression and anxiety while improving overall well-being.
This suggests that such interventions can be valuable tools for mental health and societal harmony.
Forgiveness campaign activities
Researchers from Universidad del Sinú in Colombia studied the impact of a four-week forgiveness campaign involving various activities – i.e forgiveness movies, webinars, and social media marathons.
The campaign improved forgiveness, mental health, and flourishing among the 2,800 participants. The study published earlier this year (2024) highlighted that the more activities participants engaged in, the greater their improvement in forgiveness and mental health. This research supports the idea that forgiveness campaigns can significantly benefit individual and community well-being.
Benefits
Another study, published in the journal Psychological Science, focused on the physiological effects of forgiveness compared to holding a grudge.
Participants who practised forgiveness reported lower levels of negative emotions, reduced stress, and better cardiovascular health compared to those who held onto grudges.
It demonstrated that forgiveness can lead to significant emotional and physical health benefits, suggesting that promoting forgiveness can be a crucial component of improving overall health.
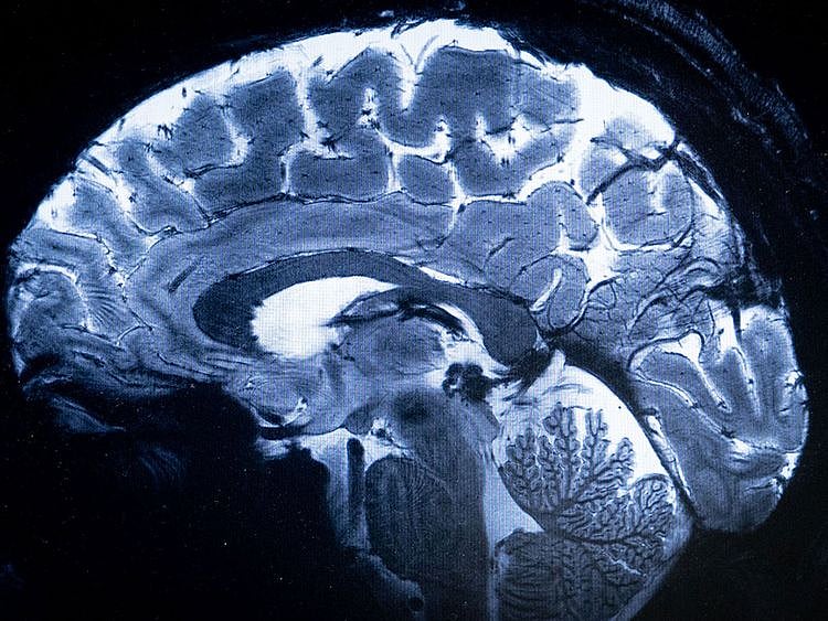
A 2012 research published in the Journal of Cognitive Neuroscience, titled “How the brain heals emotional wounds: The functional neuroanatomy of forgiveness” led by Emiliano Ricciardi, of the Department of Surgery, Medical, Molecular, and Critical Area Pathology, University of Pisa in Italy, used fMRI to examine brain activity during forgiveness.
Participants imagined scenarios involving emotional hurt, then either forgave the offender or held a grudge. This study suggests forgiveness activates areas involved in positive social interactions and managing emotions.
Another team published the results of a 2015 study, titled “Neural correlates of forgiveness: An investigation of the anterior cingulate cortex” (by SF Luo et al.). This study looked at the anterior cingulate cortex (ACC), a part of the brain involved in emotional processing.
The researchers used EEG to measure brain activity while participants decided whether to forgive someone.
What they found: Forgiveness was associated with less activity in the ACC, suggesting it may help reduce negative emotions.
In 2008, a study titled “The social neuroscience of forgiveness”, led by CE Bauman & KS McCullough, reviewed various studies on the neural correlates of forgiveness. This suggests that forgiveness may work by changing how the brain interprets and responds to social transgressions.
Collectively, these studies underscore the importance of forgiveness in enhancing mental health, fostering social harmony, and improving physical well-being.
It turns out refusing to forgive anyone makes our lives miserable, consumed by negativity. We might dwell on revenge, isolate ourselves from loved ones, and miss out on positive relationships. We experience significant conflicts and tensions that fuel anger and hatred.
Anger can be used to seek justice, but forgiveness focuses on restoring good and promoting well-being.
Would the distribution of forgiveness resources and public campaigns promoting it have a positive impact? When specific, actionable steps for forgiveness are identified, researchers think so.
Forgiveness replaces negativity with goodwill. It aims for the offender's flourishing alongside justice. It does NOT condone wrongdoing; rather, it seeks a shift from vengeance to a desire for positive outcomes.
It’s more about letting go of the anger and resentment we you can move on with our life. We’re all flawed, part of frail humanity.
Forgiveness can be a powerful tool for healing and moving forward.
Mercy – forgiveness – is a gift, to oneself and the offender. It’s about second chances. It’s a powerful thing that ultimately contributes to a more positive and flourishing world.
#1. Releases you from negativity:
Holding onto anger and resentment is like carrying a heavy burden. Forgiveness allows you to let go of those negative emotions, freeing yourself from the emotional weight and promoting inner peace.
#2. Improves your mental and physical health:
Studies have shown that forgiveness can lower stress levels, decrease blood pressure, and even boost your immune system. By letting go of negativity, you're creating space for positive emotions and overall well-being.
#3. Strengthens relationships:
Forgiveness doesn't mean condoning someone's actions, but rather choosing to move forward. It can mend broken relationships and rebuild trust, allowing you to maintain positive connections with others.
#4. Empowers you:
When you forgive, you take back control of your own emotions and experiences. You choose not to be a victim of the past and instead, focus on shaping a positive future for yourself.
#5. Promotes compassion and understanding:
Forgiveness fosters empathy for others. It allows you to consider the situation from another perspective and recognise that people make mistakes. This understanding can lead to more compassionate and forgiving interactions in all aspects of life.
Unforgiveness
It’s a toxic thing: like carrying around a heavy weight that drags you down and triggers the following: • Stress: When you don't forgive someone, you stay angry or upset. This keeps your body in a stressed state, which can raise your blood pressure and weaken your immune system. • Negative emotions: Unforgiveness can trap you in a vicious cycle of negative emotions like anger, resentment, and bitterness. These emotions can be draining and make it hard to feel happy or positive. • Mental health: Studies have shown that unforgiveness can be linked to depression, anxiety, and other mental health problems.
Network Links
GN StoreDownload our app
© Al Nisr Publishing LLC 2026. All rights reserved.