Old TB scars cannot be used to declare a person unfit to work in UAE: health experts

Abu Dhabi: Fitness certificates for newcomers to the UAE are stamped as unfit if a tuberculosis (TB) scar has been detected through a chest X-ray; a practice that health experts feel is outdated.
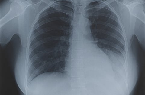
TB scars mainly arise when the outer layer of the lung has been infected in the past and not necessarily by TB. Yet according to the UAE federal law, those found to have old pulmonary TB, are considered unfit, and a lifetime ban is stamped in their passports.
Pulmonary tuberculosis (TB) is a contagious bacterial infection that mainly involves the lungs, however when the condition becomes old, it is referred to as an old pulmonary TB, which according to Dr Prasad Kunnumbrath, TB and chest specialist at NMC Speciality Hospital, who has worked with patients with TB for the past 18 years, indicates that the person once had TB but is now completely cured.
"Chances of TB returning to patients, who once had it, are exactly the same as chances of TB affecting those who never had it. There's no medical rational for considering a person unfit for having an old pulmonary TB (which in many cases leaves a scar)," said Dr Kunnumbrath.
UAE Ministerial decree's 28/2010 and 7/2008 indicate that all newcomers who have been found to have active or old pulmonary TB in a chest X-ray are denied a fitness certificate since they are considered "unfit" citizens."I would understand why active TB cases could pose a threat to society, since it's contagious, however when a patient is found to have a scar in a chest X-ray it doesn't necessarily mean it's due to TB. It only means the pervious infection's such as pneumonia, have produced a scar," he said.
Regulations
When Gulf News asked the Health Authority Abu Dhabi (HAAD) to comment on the current regulation, Dr Farida Al Hosani, Section Head of Communicable Diseases at HAAD said: "the current laws applied in the Emirate of Abu Dhabi is according to the federal regulations for medical fitness certificate applied in the UAE. The same regulation is applied in other Emirates and GCC countries."
TB is a contagious disease that spreads through the air. When infectious people cough, sneeze, talk or spit, they propel TB germs known as bacilli. A person needs only to inhale a few of these to be infected. Symptoms include a chronic cough accompanied by blood, fever, night sweats and weight loss.
Dr Farida went on to say: "Fortunately the rates of TB in the UAE are low compared to other countries, however the main challenge is to monitor the majority of workers coming from countries with high prevalence of TB [Asia and Africa].
"HAAD statistics show that newcomers to the country have around 20 folds high rates of TB, and this is a huge risk to the resident and national population."
When a hospital is found to have active TB cases HAAD must be alerted within 24 hours. If the patient however has been found to have a TB scar, investigations can go up to three days.
‘No symptoms'
"If a patient is diagnosed with a scar and investigations prove that he/she has no symptoms and is clinically fit, we rule out the idea of him/her being a threat to society. However, according to the federal law, the government deports such persons," explained the doctor.
According to Dr Farida, treatment course for TB is around six months to one year, however "a lot of patients don't complete the course of treatment."
In a letter sent to Gulf News, a reader called Riyaz wrote: "The federal regulation regarding TB scars is inhuman. Since I am currently residing in Abu Dhabi, I asked my wife to join me. Her medical results however showed that she has an old TB scar, and she was considered unfit."
"My wife is disease free, and we have two healthy children. Yet the federal law decides she must be deported for life, and now I am separated from my family ... I need someone to please help and solve this issue," said Riyaz.
Source: Dr Prasad K Manden, MBBS,DTCD,MD,FCCP, TB& Chest specilist
Names of famous people who died from TB
Statistics (Source: Health Authority Abu Dhabi)
Year 2011 (quarter one only)
• Over 143 cases across the Emirate of Abu Dhabi were diagnosed with Pulmonary Tuberculosis (disease affecting the lungs)
• Over 48 cases across the Emirate of Abu Dhabi were diagnosed with Extra-Pulmonary Tuberculosis (affecting various organs in the body)
Year 2010 (the whole year)
• 450 cases across the Emirate of Abu Dhabi were diagnosed with Pulmonary Tuberculosis (disease affecting the lungs)
• 175 cases across the Emirate of Abu Dhabi were diagnosed with Extra-Pulmonary Tuberculosis (affecting various organs in the body)
Ministry objectives
The UAE Ministry of Health (MoH) have implemented TB control standards in an effort to reduce 50 per cent prevalence of TB and deaths caused by the diseases by 2015, and eliminate TB as a public health problem. The aim is to reduce it to less than one case per million of population by 2050 — as per objectives set by the World Health Organisation (WHO).
The global incidence of TB as per WHO 2009 reports, suggests that an estimated 1.7 million people died from it. The highest number of deaths was in Africa.