Parents relieved after two-hour procedure carried out to remove the unnatural growth

Abu Dhabi: A giant eight-centimetre cyst has been successfully removed from the liver of a three-month old girl in Abu Dhabi.
A two-hour laparoscopic procedure was required to remove the growth, which was first noticed during a prenatal scan, the Burjeel Medical City said in a statement last week. After the baby’s delivery, the cyst had grown to twice its original size.
The father of the baby said: “Everything was going well. My wife was perfectly healthy and never experienced any complications. She was six months pregnant when a prenatal scan showed a growth in the liver of our unborn child. We could not believe it.”
The prenatal scan revealed that the cyst measured just about four centimetres. The soon-to-be first-time parents were dismayed at the discovery, but hoped the cyst would disappear after the baby’s birth.
After delivery, initial scans showed that the cyst was benign and was not growing in size. But a month later, the cyst had grown by two centimetres.
“Both of us were shocked. The doctor whom we were consulting told us that the cyst had to be surgically taken out and advised us to consult a paediatric surgeon,” the father said.
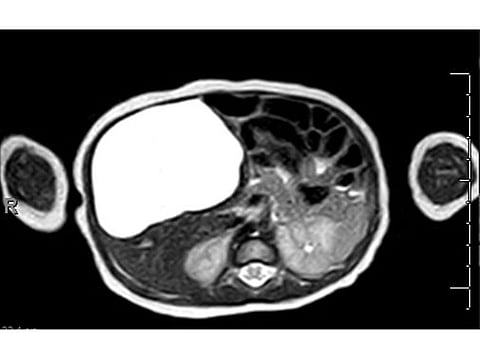
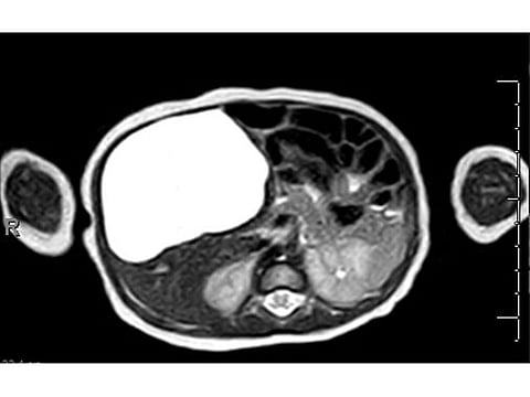
The couple took their newborn daughter to Dr Rajasekhar Cingapapu, a paediatric surgeon at Burjeel Medical City, who examined the baby and monitored her for two weeks. A detailed MRI scan revealed the size, position and the relation of the cyst to the surrounding vital organs. Based on those assessments, surgery was advised.
Dr Cingapapu said: “Giant congenital liver cysts are rare and difficult to diagnose clinically. The cyst may affect other organs or rupture. It may also cause an infection or internal bleeding to worsen the condition.”
The surgeon opted to go for a laparoscopic procedure, as the minimally invasive approach is less painful and enables faster recovery. The procedure was carried out without any complication and the baby girl remained healthy post-surgery.
Dr Cingapapu said neonatologists had assisted the baby in her recovery. The baby girl was discharged three days after the surgery.
“We do not know how to express our gratitude to the doctors at Burjeel Medical City. We had been going through excruciating pain during the period [of diagnosis and treatment]. They have been a great support to us. We are grateful to them, especially Dr Cingapapu, for saving our child and being kind to us,” the relieved parents said after the surgery.